生死竞速!多学科联手,医院成功救治肿瘤术后危重患儿
2026-03-17 08:13儿童内科-呼吸与重症医学科(PICU)
近日,医院儿童呼吸与重症医学科在多学科联合诊疗MDT支持下,成功救治一名脓毒血症合并肝内占位、肺炎、肝功异常、糖耐量受损、神经母细胞瘤术后的复杂重症患儿。该患儿此次病情来势汹汹,经多学科协作精准诊疗,最终转危为安,顺利出院。
重症突袭!
肿瘤术后患儿再遇健康危机
患儿小喜(化名)8年前曾因“神经母细胞瘤”接受手术及化疗,多年来病情控制稳定。此次突发高烧,再次将这个家庭推向风暴中心。来院时,小喜持续高热,伴随呕吐、关节疼痛、头痛等症状,门诊紧急化验显示:C反应蛋白(CRP)高达64.2mg/L,远超正常范围,提示存在严重感染。
门诊当即给予抗生素输液及补液、退烧等对症治疗,但症状未能缓解。为进一步救治,小喜被紧急安排住院,复查结果显示病情不容乐观:CRP升至104mg/L,降钙素原1.134ng/mL,白介素-6 32.953pg/mL,血清淀粉样蛋白A 357.13mg/L,一连串炎症指标的“爆表”,提示小喜病情危重,“脓毒血症” 诊断明确,一场高强度的宝贝“防御战”就此打响。
精准施策
直面诊断难题稳控局面
炎症指标异常升高,必须尽快明确病因,精准施治!儿童呼吸与重症医学科主任郝薇迅速牵头制定救治方案:一方面立即升级抗生素,全力控制脓毒血症进展;另一方面紧急联系影像科,完善胸部、腹部等影像学检查,力求第一时间锁定感染灶。


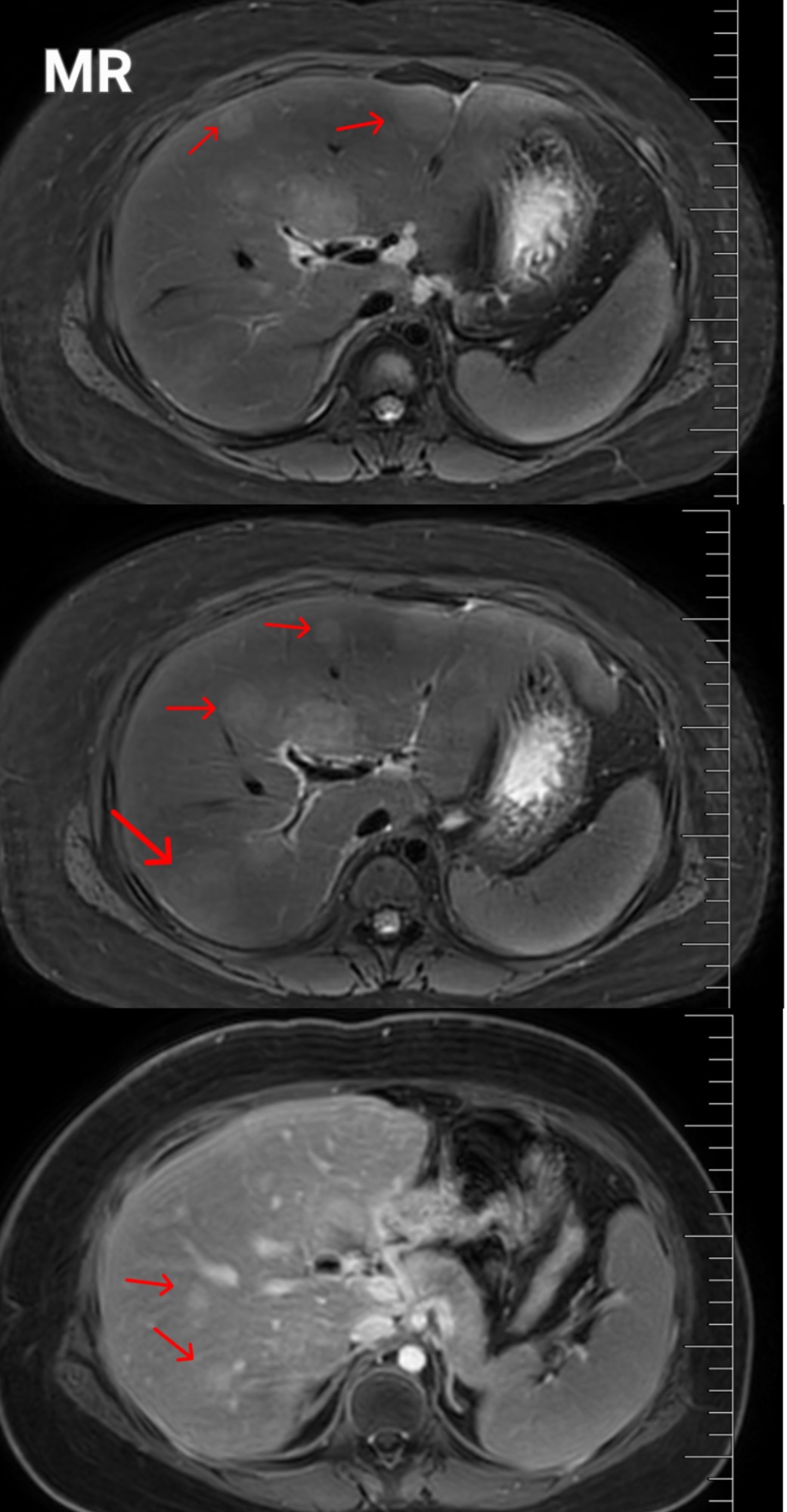
可检查结果带来了新的疑问:腹部超声提示 “肝内多发低回声区,脓肿可能”,而进一步完善增强 MR则提示 “肝脏多发异常信号,考虑转移瘤”。对于有神经母细胞瘤病史的小喜而言,肝内占位的性质直接关系到后续治疗方向与预后,家长的神情瞬间变得凝重,心理承受着巨大压力。
察觉到家长的担忧,医护团队主动承担起安抚家属情绪的责任,郝薇更是多次亲自与家长面对面沟通,用专业且温和的语言拆解病情、分析治疗思路,详细告知每一步诊疗计划,用温暖与耐心让小喜父母在艰难时刻感受到坚实的依靠。
幸运的是经过4天抗感染治疗,小喜的体温逐渐恢复正常,炎症指标显著下降,脓毒血症危机扭转,为后续治疗赢得了宝贵的窗口期。
MDT聚力
多学科会诊拨开迷雾定方案
控制住急性感染后,明确肝内占位的性质成为后续治疗的关键。为避免单一学科的局限,实现最精准的诊疗,郝薇迅速启动MDT诊疗模式,紧急报请医务处组织影像科、感染性疾病科、肿瘤科、肝胆外科四位一体的专家团队进行会诊。各科专家立足专业视角,梳理病情难点,综合分析影像学特征、临床表现及治疗反应,深入分析,打破学科壁垒,凝聚集体智慧。最终达成共识:肝内占位考虑局灶性结节增生可能性最大,暂不考虑转移瘤及肝脓肿。这一结果让大家紧绷的神经得到缓解,但仍需后续随访复查。基于MDT讨论结果,专家团队为小喜制定了精准的个体化治疗方案,并建立长期随访机制,为宝贝保驾护航。

经过两周的精准个性化治疗,小喜体温持续平稳,各项炎症指标均已恢复正常,达到出院标准。出院时,小喜父母对医护团队的精湛医术和暖心关怀表达了由衷感谢。
此次成功救治,充分彰显了医院儿童呼吸与重症医学科在处理复杂疑难疾病中的过硬专业实力,体现了多学科联合诊疗在保障医疗安全与提升疗效方面的显著优势,更生动诠释了千医“精于术,厚于德”医者理念。
郝薇表示,“每一例疑难病例的救治成功,都是团队协作的成果,更是患者信任的回报。未来,我们将继续深耕专业领域,不断提升诊疗水平与协作效率,以更饱满的热情、更精湛的技术、更温暖的服务,为每一位宝贝的健康保驾护航,让‘生命至上’的理念在临床一线落地生根。”


