微创“补漏”解疝患——医院膈疝个体化诊疗显成效
2026-04-20 08:14普外中心-疝与腹壁外科
近日,医院疝与腹壁外科李波主任医师团队,成功为两名膈疝伴消化道嵌顿患者实施腹腔镜下膈疝修补术。术中操作精准娴熟、创伤微小,术后患者恢复进展迅速,已顺利康复出院。作为科室学科带头人,李波主任医师深耕疝与腹壁外科领域多年,凭借深厚的专业积淀,已将腹腔镜下膈疝修补术列为常规诊疗项目,以精湛的微创技术为众多膈疝患者解除病痛。

膈疝是因膈肌缺损,导致腹腔脏器突入胸腔引发的疾病,若延误治疗,疝入胸腔的脏器不仅可能压迫心肺,引发呼吸循环障碍,还可能导致胃肠道梗阻、嵌顿坏死等严重并发症,甚至危及患者生命,因此手术修补是目前唯一的根治方法。传统开放手术需在胸腹部留下较长切口,不仅创伤大、术后恢复慢、疼痛明显且并发症发生率较高,给患者带来了不小的身心负担。而腹腔镜下膈疝修补术作为当前微创治疗的主流术式,凭借创伤小、恢复快、疼痛轻、美观性好等显著优势,已成为目前膈疝治疗的首选方案。

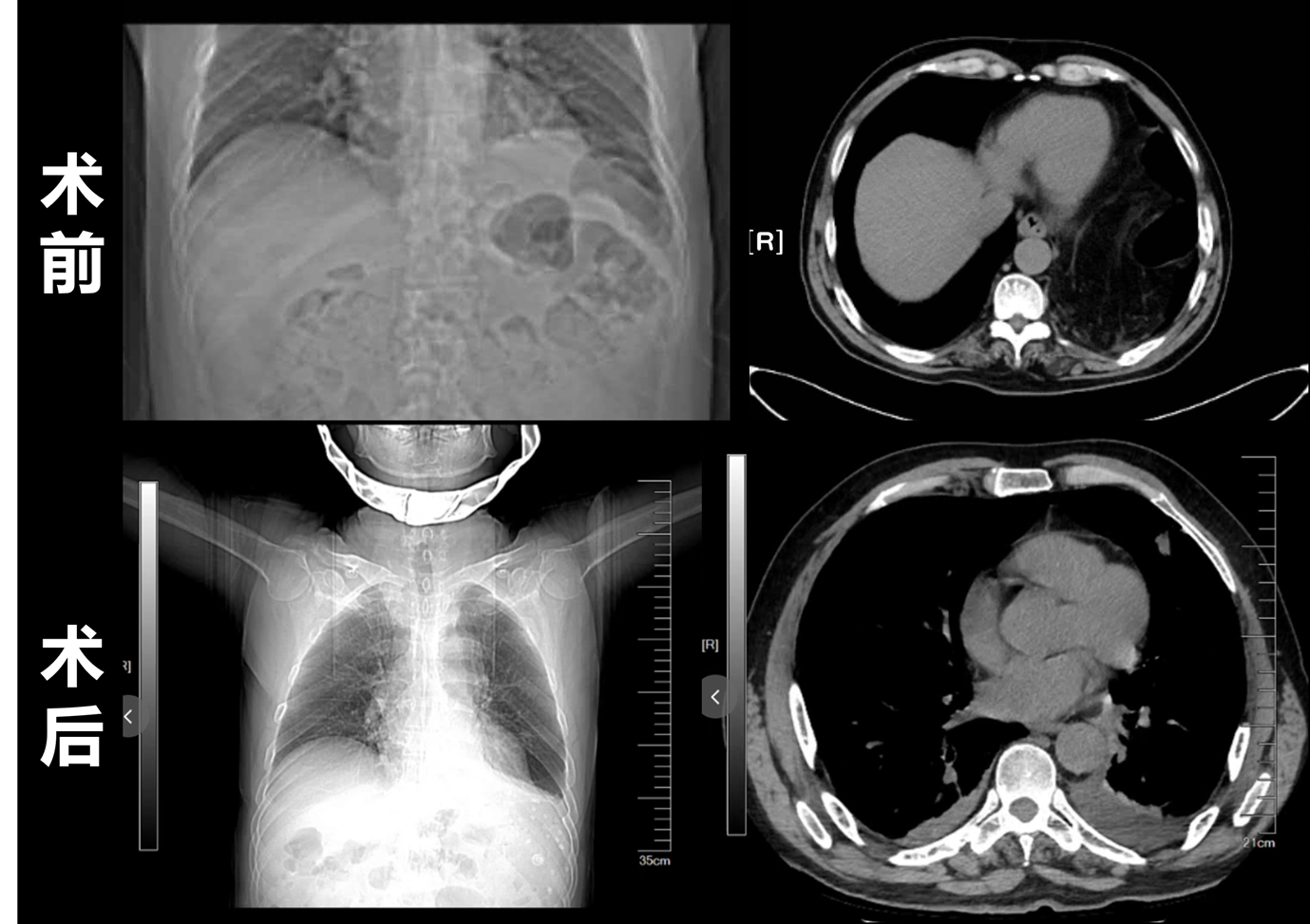
患者一:食管癌根治术后8年余,10天前无明显诱因出现停止排气、排便,于当地医院行CT检查提示左侧膈疝并小肠梗阻。患者辗转多家医院后来院急诊就诊。疝与腹壁外科李波主任详细研判病情后,将患者转入科室行腹腔镜探查+膈疝修补术,术中见大量小肠经膈肌缺损处疝入左侧胸腔并发生嵌顿。因手术处置及时,患者术后恢复顺利,现已康复出院。

患者二:患者10年前有过车祸伤史,1天前突发腹痛,伴停止排气排便,当地医院CT检查提示左侧膈疝合并结肠梗阻,辗转转入我院急诊。李波主任详细了解病情,考虑患者为慢性创伤性膈疝伴结肠嵌顿,为防止结肠嵌顿坏死,立即启动急诊手术,行腹腔镜探查+膈疝修补术。术中可见横结肠、结肠脾曲及大量大网膜经左侧膈肌缺损疝入胸腔。得益于手术干预及时,有效避免了肠管坏死风险,患者术后恢复顺利。
在膈疝修补手术过程中,李波主任医师团队严格遵循“精准、微创、安全”的核心原则,仅在患者腹部开4-5个钥匙孔大小的微小切口,借助腹腔镜的放大视野,清晰探查膈肌缺损部位,精细分离粘连组织,将疝入胸腔的脏器小心翼翼还纳回腹腔,再针对膈肌缺损的位置及范围,可采取个体化的手术方案,重建膈肌这道分隔胸腹腔的“健康屏障”,从根源上解决膈疝困扰。整个手术过程出血量少、操作精准规范,最大限度减少了对周围组织的损伤,有效降低了术后并发症的发生率,为患者快速康复奠定了坚实基础。在李波主任医师的带领下,疝与腹壁外科开展的腹腔镜下膈疝修补术,患者术后平均住院时间缩短至3-5天,复发率低于5%,患者术后生活质量得到显著提升,收获了广大患者及家属的一致认可。
▼膈疝的腹腔镜个体化手术修补方式操作图片

李波主任医师作为疝与腹壁外科领域的资深专家,现任普外中心副主任兼疝与腹壁外科主任、医学博士、硕士研究生导师,同时担任山东省医学会外科学分会疝与腹壁外科学组组长、山东省医师协会疝与腹壁外科医师分会副主任委员、中国医师协会外科分会疝与腹壁外科学组青委会副主任委员等。他深耕临床一线多年,积累了丰富的诊疗经验与精湛的手术技艺,熟练掌握各类疝与腹壁疾病的微创治疗技巧,逐步形成了“精准评估、微创操作、个体化诊疗、快速康复”的标准化诊疗体系,用专业与匠心守护每一位患者的健康。


