省内首例!我院率先开展机器人辅助胰腺癌精准放射性碘125粒子植入术
2026-03-17 08:38肿瘤中心-肿瘤微创科
近日,山一大一附院(省千佛山医院)肿瘤微创科团队在叶欣教授的指导下,成功为一名85岁高龄胰腺癌患者实施山东省首例机器人辅助胰腺癌放射性碘125粒子植入术,术后患者恢复良好。
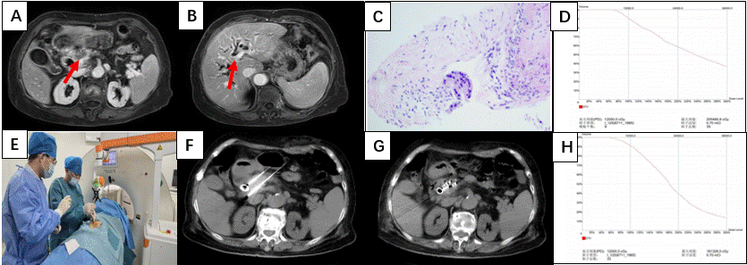
患者因“左上腹胀痛2月”来院,行上腹部强化MR检查,示:胰腺占位,考虑胰腺癌,且合并胆道低位梗阻、胰管扩张(图A、B)。进一步行CT引导下胰腺占位穿刺活检,病理示:胰腺导管腺癌(图C)。完善系统检查后,患者诊断为:胰腺导管腺癌(cT2N0M0IB期),并于2月24日行内镜下胆道支架植入术以解除胆道梗阻,经对症治疗后患者相关指标恢复正常。
后经多学科讨论,结合患者高龄、外科手术风险高的情况及家属意愿,于3月2日在行机器人辅助胰腺癌放射性碘125粒子植入术,由危志刚副主任医师、薛国亮副主任医师及曹丕坤主治医师实施手术操作,手术过程顺利(图E-G)。

此次手术严格按照术前计划执行,精准植入0.7mCi 125I粒子33粒,术后验证参数达标(图D、H);患者术后2天上腹疼痛明显减轻,肝功指标改善,无腹腔出血、感染等并发症。相比传统CT引导介入治疗,机器人辅助创伤更小、安全性更高、粒子排布更均匀、手术时间更短,为高龄无法耐受根治性手术及全身治疗的胰腺癌患者,提供了一种高效、安全的治疗策略。
目前,山一大一附院肿瘤微创科已常规开展机器人辅助下穿刺活检、微波消融、冷冻消融等各类微创手术。此次机器人辅助胰腺癌放射性碘125粒子植入术成功开展,亦是科室在肿瘤微创精准治疗领域取得的又一重要技术突破。


