腕关节镜下多术式联合,精准破解复杂腕部损伤难题
2026-04-08 08:38骨创伤外科
近日,山一大一附院(省千佛山医院)手足显微外科崔宜栋医生团队凭借精湛的微创诊疗技术,成功为一名复杂腕部损伤患者实施腕关节镜下探查+滑膜清理+TFCC修复+月骨微骨折+尺骨短缩截骨术,多术式联合精准施策,最大限度恢复患者腕关节功能,为此类患者提供了高效、优质的诊疗方案。
患者,男,35岁,因“左腕关节疼痛、活动受限半年”入院,入院后诊断为“1.左腕关节痛 2.TFCC损伤 3.尺骨撞击综合 4.月骨囊性改变”。腕关节结构复杂,承载着手部的灵活运动功能,一旦发生损伤,常伴随TFCC(三角纤维软骨复合体)损伤、月骨软骨剥脱、月骨坏死及滑膜增生等多种问题,若诊疗不及时、不精准,易导致腕关节疼痛、僵硬、活动受限,严重影响患者手部功能及日常生活。此类复杂损伤传统开放手术创伤大、视野局限,难以全面处理多重病灶,且术后恢复慢、并发症风险较高。

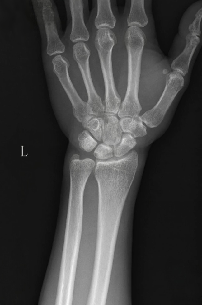
X线片示:尺骨正向变异,月骨可见低密度囊性透亮影。

MRI示:月骨内可见囊性改变,TFCC 信号明显增高、连续性中断。

腕关节镜手术中

腕关节镜下可见月骨软骨剥脱,囊性改变,予以微骨折术

腕关节镜下滑膜清理后,TFCC予以镜下修复

尺骨短缩截骨,避免尺月撞击
此次手术中借助腕关节镜的高清视野,先对腕关节内部进行全面探查,清晰识别所有损伤病灶,随后依次完成滑膜清理,去除增生病变组织、缓解炎症反应;精准修复损伤的TFCC,恢复腕关节稳定性;对月骨的囊变、月骨软骨剥脱,在关节镜下清理后,行微骨折术;通过尺骨短缩截骨术,纠正尺骨长度异常,避免尺月撞击。整个手术全程微创操作,创伤小、出血少,最大程度保留了腕关节周围软组织功能,为患者术后快速康复奠定了坚实基础。


