深耕疝病诊疗,疝与腹壁外科微创技术造福食管裂孔疝患者
2026-01-09 09:08疝与腹壁外科
山一大一附院(省千佛山医院)疝与腹壁外科李波主任团队,深耕食管裂孔疝诊疗领域,常规开展食管裂孔疝微创修补术。凭借精湛的微创技术与丰富的临床经验,团队已为众多患者成功解决反酸烧心、慢性咳嗽、胸闷憋喘、重度贫血、进食障碍等一系列顽固性症状,从根源上改善患者生活质量,为食管裂孔疝患者带来高效、优质的诊疗方案。
什么是食管裂孔疝?
食管裂孔疝是一种常见却未被广泛认知的消化系统疾病,具体是指胃、大网膜、小肠、结肠等腹腔内器官或组织,通过扩大的食管裂孔疝入胸腔所引发的病变。
该病的典型症状多样,既包含反酸烧心、吞咽困难、胸腹部疼痛等消化系统核心表现,也会伴随胸闷、咳嗽、哮喘、憋喘等呼吸循环系统相关症状;病情进展后,还可能出现出血、贫血等并发症,严重时甚至会发生疝囊嵌顿、扭转等危急情况,长期受病痛困扰的患者还易继发焦虑、抑郁等心理问题。

哪些检查能明确诊断?
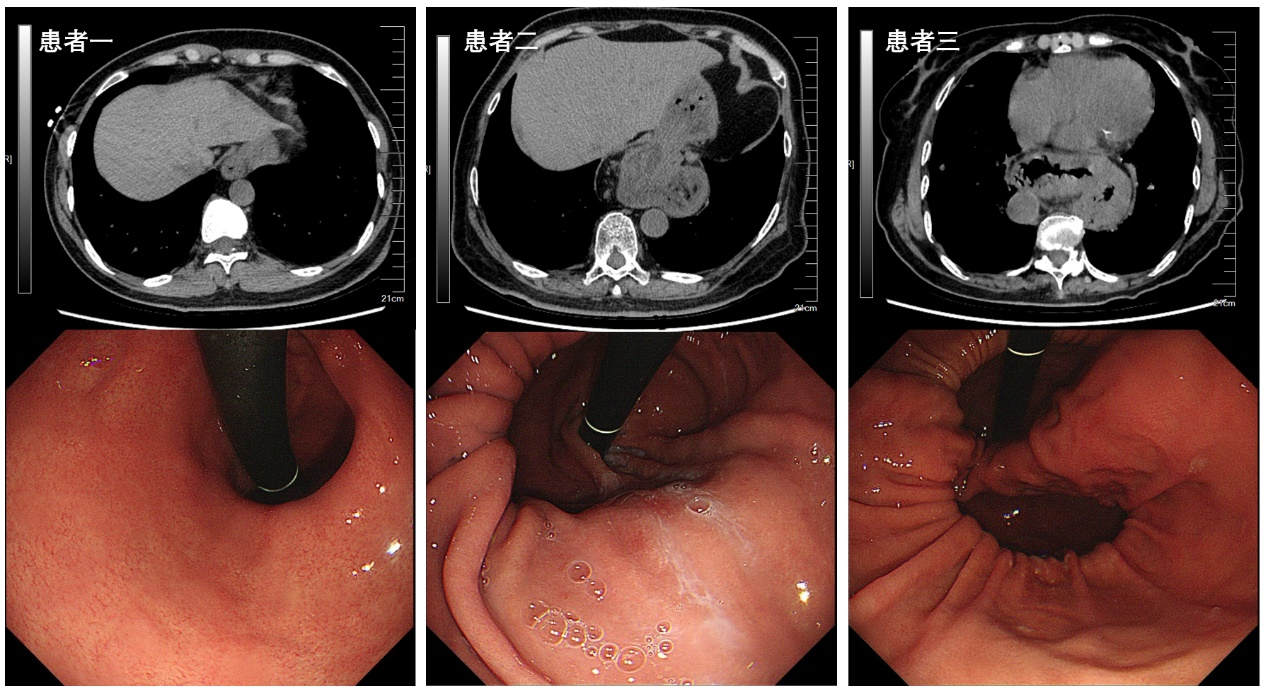
食管裂孔疝的临床诊断,通常可通过胸部 CT与胃镜检查两大核心手段明确。胸部 CT 检查可清晰显示食管裂孔增宽的形态,同时直观呈现胃、大网膜等腹腔脏器或组织疝入胸腔的范围与程度;胃镜检查时,操作者翻转镜头即可观察到贲门区域的疝囊结构,结合镜下表现即可完成明确诊断。

▲食管裂孔疝患者CT及胃镜表现
患者一:I型食管裂孔疝,主要症状为反酸、烧心;
患者二:III型食管裂孔疝,主要症状为反复便血、严重贫血;
患者三:IV型食管裂孔疝,主要症状为反复上消化道梗阻,恶心、呕吐,进食障碍。
什么时候需要采取手术治疗?
食管裂孔疝的治疗方案,需结合疝体大小及临床症状严重程度综合判定。对于无症状的轻度食管裂孔疝患者,或症状可通过药物平稳控制的人群,一般无需特殊干预,以随访观察和对症药物管理为主。若患者疝体较大、症状严重且药物治疗效果不佳,或已出现出血、贫血、疝囊嵌顿等并发症,则需及时至专科门诊就诊,进一步评估手术指征,择期开展手术治疗。
目前,山一大一附院(省千佛山医院)疝与腹壁外科已将腹腔镜食管裂孔疝修补术列为常规手术项目。科室会针对不同类型、不同大小的食管裂孔疝,为患者量身定制个体化治疗方案。相较于传统手术,腹腔镜食管裂孔疝修补术优势显著。该术式能够提供更为广阔、清晰的手术视野,让解剖结构得以清晰显露,极大提升了手术操作的精准度,降低了并发症的发生几率。此外,患者术后疼痛较轻,恢复速度快,且疝复发率低。只要严格把控手术的适应症与禁忌症,为患者施行腹腔镜手术,能让患者获得更多益处。


