支气管镜冷冻肺活检精准破局 间质性肺疾病患者终获明确诊断
2026-02-11 16:01呼吸与危重症医学科
间质性肺病病因复杂、病理类型多样,明确诊断是制定有效治疗方案的核心。而传统活检技术获取的组织标本量小、结构完整性不足,难以满足病理诊断的精准要求。外科肺活检虽诊断率高,但创伤大、并发症风险高,并非该类患者的最佳选择。支气管冷冻肺活检作为近年来呼吸介入领域的前沿技术,通过支气管镜将冷冻探头送至肺部病变区域,利用制冷剂快速降温形成“冰球”,粘附病变组织后完整取出,相较传统活检,能获取更大、结构更完整的肺组织标本,诊断准确率大幅提升,且具有微创、出血风险低、术后恢复快等优势,对弥漫性肺间质病变的诊断尤为适用。
近日,山一大一附院(省千佛山医院)呼吸与危重症医学科董雪丽副主任医师所在团队成功运用经支气管镜冷冻肺活检技术,为一例反复就诊、病因不明的间质性肺病患者明确病理诊断,为后续精准治疗制定方案奠定关键基础。这一技术的成功应用,不仅体现了医院在肺部疑难疾病诊疗领域的技术突破,也为广大间质性肺病患者带来了微创、高效的诊断新选择。
该患者因反复咳嗽、活动后胸闷气短等症状辗转多家医院,胸部影像学检查提示间质性肺病变,虽经多次对症治疗,但病情仍反复迁延,病因始终未能明确。

△患者的3次胸部CT对比:2025.03.25初次就诊可见较明显的肺间质改变,2025.03.31经治疗后病变好转,2026.01.05患者肺部病变再次加重,提示患者肺情迁延。
针对患者的病情,科室多学科专家会诊,综合评估患者的身体状况、影像学特征及诊疗史后,一致认为经支气管镜冷冻肺活检是该患者的最优诊断方案。
在充分完善术前检查、评估手术风险并取得患者及家属知情同意后,介入团队为患者实施经支气管镜冷冻肺活检术。术中,团队在支气管镜引导下精准定位病变部位,熟练操作冷冻探头完成组织取样,成功获取多块满足病理诊断要求的肺组织标本,整个手术过程顺利,术中出血可控,患者生命体征平稳。术后患者恢复良好,无明显并发症,于短时间内即可下床活动。

△冷冻活检(左)与传统活检(右))标本对比,冷冻肺活检标本明显更大。
病理科对活检组织进行细致的病理分析及免疫组化检测后,最终为患者明确了间质性肺病的具体病理类型。拿到明确诊断结果后,呼吸科专家团队迅速为患者制定了个性化的精准治疗方案,困扰患者许久的诊疗难题终于迎刃而解。

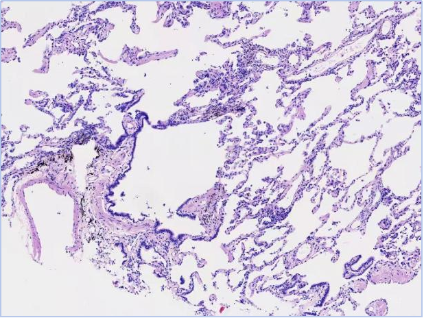
△患者肺活检标本,可见明显的肺泡结构,肺泡间隔增宽。
据了解,经支气管镜冷冻肺活检技术对间质性肺病的诊断准确率可达80%以上,是目前疑难肺部弥漫性病变诊断的重要利器,其微创化、高精准、低风险的特点,有效弥补了传统诊断技术的不足,让更多不耐受外科手术的患者获得明确诊断的机会。
此次为间质性肺病患者成功实施该技术,标志着山一大一附院在间质性肺病的精准诊断领域迈上了新台阶。未来,呼吸与危重症医学科将继续深耕呼吸介入技术的临床应用与研究,依托多学科协作诊疗模式,不断提升肺部疑难疾病的诊断与治疗水平,以更先进的技术、更精准的诊疗,为广大呼吸系统疾病患者的健康保驾护航。


