我院引进飞利浦夸克CT与Ingenia Elition AI+ 3.0T磁共振
2026-02-23 10:10放射科-影像技术科
在现代医疗精准诊断领域,影像设备的革新是疾病早期诊断与精准治疗的核心驱动力。近日,我院重磅引进两大国际高端影像设备:飞利浦夸克超高端光谱CT与飞利浦Ingenia Elition AI+ 3.0T磁共振。这两款“硬核装备”的正式落地,将为患者带来更快速、更清晰、更安全、更舒适的诊疗体验,助力我院诊疗水平再上新台阶。
一、夸克CT:跨界融合,一次扫描解锁“三维诊断”

夸克CT搭载双层探测器光谱成像技术,从物理层面打破了传统CT的局限。它不仅是CT,更融合了CT的速度、MR的诊断、PET的功能,真正实现“跨界影像,合三为一”。

(一)光谱成像,多参数诊断再升级
夸克CT以多参数能量诊断为核心,突破传统CT仅依赖密度成像的局限,可同时提供数十种光谱图像参数,精准量化组织成分与功能状态,为临床决策提供更可靠的依据。
(二)五大临床应用突破,助力精准诊疗
(1)超低剂量扫描:低辐射剂量+低对比剂用量的同时获得数倍于常规CT扫描信息。

(2)心脏一站式评估:一次扫描完成冠脉形态+心肌功能评价,实现心肌缺血与活性分析。

(3)钙抑制成像:识别并抑制骨骼钙成分,清晰显示骨髓水肿、早期骨肿瘤,克服常规CT局限。

(4)金属伪影抑制:显著减少金属植入物伪影,清晰显示假体周围软组织病变,提升术后评估准确性。

(5)肿瘤精准定量:多参数成像清晰显示实质脏器病灶,AI肿瘤追踪技术实现早期诊断与疗效定量评估。

(三)AI智能工作流程,高效与安全并重
夸克CT搭载AI智能工作流,可高效处理全量扫描数据,优化检查流程,减少患者等待时间。其独有的100kVp超低剂量技术,在保证图像质量的同时,将辐射危害降至最低,真正实现“精准诊断、安全关怀”,让每一次检查都安心、放心。
二、Ingenia Elition AI+ 3.0T磁共振:全域觉醒、智启未来

率先引进省内首台飞利浦IngeniaElition AI+ 3.0T磁共振,适用于多种疾病的早期筛查与诊断,为临床诊疗提供安全、精准、高效的影像学支持,真正实现“无创洞察,健康无忧”。
(一)极速成像,抢占救治先机
设备搭载先进的压缩感知技术与零涡流梯度系统,平均检查速度提升50%以上,大幅缩短患者等待时间,显著提升检查成功率。
(二)舒适空间,告别检查焦虑
70cm大孔径设计结合噪音减低扫描技术,显著提升患者检查舒适度,消除焦虑。宽敞空间可轻松容纳幽闭恐惧症患者及肥胖人群,噪音减低技术尤其适用于儿童及对噪音敏感者。
(三)前沿技术,引领诊疗新方向
(1)无创大血管筛查:全程无电离辐射、无需造影剂,真正实现零过敏风险、零创伤的安全检查。

(2)不打药冠脉成像:无电离辐射、无过敏风险,主要适用于冠心病低风险患者及健康人群冠状动脉筛查。

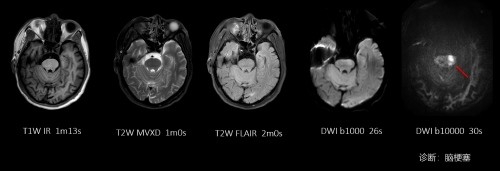
(3)脑梗塞检查:对于脑梗塞病灶的敏感性更强,可在发病数分钟至半小时内发现脑梗塞病灶。

(4)心肌灌注和活性成像:可以准确评估缺血心肌和梗死心肌、纤维化心肌。

(5)神经/精神类疾病检查:无创评估神经递质水平,为阿尔茨海默病、帕金森病、抑郁症、睡眠障碍等提供超早期辅诊依据。
两大高端设备协同发力,开启精准医疗新篇章
飞利浦夸克CT与Ingenia ElitionAI+3.0T磁共振的成功引进,不仅为我院构建高质量诊疗体系、夯实精准诊断核心能力注入强劲动能,更将显著提升医院在影像诊断领域的综合实力与核心竞争力。我们将以技术革新为抓手,为病人带来更优质、高效、便捷的医疗服务体验,用专业赋能筑牢全民健康守护线!


